Лечение помутнений роговицы вследствие кератита
Помутнение роговицы - это заболевание роговицы, прозрачной структуры в передней части глазного яблока, которое может вызвать серьезные проблемы со зрением. Помутнение роговицы возникает, когда на роговице образуются рубцы. Это препятствует прохождению света через роговицу к сетчатке и может привести к тому, что роговица будет казаться белой или затуманенной.

Помутнение центральной части роговицы.
Роговица - это прозрачный хрусталик вашего глаза. При повреждении или рубцевании роговица может стать непрозрачной. Это препятствует прохождению света, негативно влияя на ваше зрение. Глаз кажется белым или затуманенным. Помутнение роговицы часто развивается постепенно.
Роговица расположена над зрачком и радужной оболочкой и состоит из пяти различных слоев. Каждый из этих слоев прозрачен, поэтому свет беспрепятственно проникает в глаз, обеспечивая четкое зрение. Из-за непрозрачности роговицы снижается прозрачность и нарушается светопропускание. Это приводит к тому, что изображение проецируется на сетчатку не в фокусе, что приводит к ухудшению зрения. Воспаление увеличивает риск помутнения роговицы.
Различные повреждения роговицы, включая физические травмы, химические ожоги, воспаления и заболевания, вызывают повреждение тканей, что приводит к сложному каскаду воспалительных и фиброзных реакций, а также к ремоделированию и заживлению тканей для предотвращения дальнейшего повреждения и восстановления целостности и функций тканей.
Помутнение приводит к появлению видимой белой пленки на глазу, но это происходит только на поздней стадии, которая может длиться месяцы или годы.

Лечение помутнений роговицы вследствие кератита зависит от стадии заболевания, причины воспаления и выраженности симптомов. Поверхностные и легкие рубцы могут заживать в течение нескольких месяцев, и зрение может быть восстановлено; однако глубокие или тяжелые рубцы обычно ухудшаются и приводят к слепоте роговицы.
В легких случаях можно использовать антибиотики или стероидные глазные капли. Иногда врачи также назначают пероральные препараты.
Врачи иногда рекомендуют операцию, называемую фототерапевтической кератэктомией. Хотя при этом, как и при LASIK, используются лазеры, между LASIK и PRK есть несколько различий, которые делают PRK лучшим методом лечения помутнения роговицы. Однако это возможно только в том случае, если поражены самые верхние слои роговицы.
В наиболее тяжелых случаях врач может порекомендовать пересадку роговицы. Если помутнение роговицы прогрессирует до такой степени, что существует риск слепоты, пересадка роговицы (кератопластика) часто является единственным перспективным методом лечения. При кератопластике мутная роговица удаляется и вставляется донорская роговица.
Наиболее распространенными причинами являются инфекции или травмы глаз. В частности, причиной помутнения роговицы может быть истирание роговицы. В некоторых случаях отек глаз также может привести к повреждению роговицы, что приводит к помутнению.

Слепой глаз из-за тяжелого гнойного кератита, возникшего после незначительной ссадины роговицы кукурузным листом, которая привела к образованию плотных рубцов на роговице.
После травм или при различных заболеваниях патологии стромы роговицы включают воспаление, фиброз, образование помутнений, неоваскуляризацию и дегенерацию стромы (например, кератоконус). Эти состояния часто приводят к образованию рубцов и деформации роговицы, что приводит к повышенному рассеянию света, блокированию прохождения света и астигматизму, которые являются причинами слепоты роговицы во всем мире.
Восстановление прозрачности роговицы и зрения включает в себя различные методы, в том числе медикаментозное лечение, стероиды, иммуномодуляцию и пересадку донорских материалов для замещения поврежденной ткани. Современные фармакологические (нехирургические) методы лечения позволяют значительно уменьшить помутнение роговицы и помутнения легкой и умеренной степени. Хирургические методы лечения с трансплантацией донорской роговицы (проникающая, передняя и глубокая пластинчатая кератопластика) являются современным стандартом лечения тяжелых и стойких помутнений и слепоты роговицы.
Приводим общие рекомендации и возможные терапевтические схемы лечения кератитов различной природы.
Лечение бактериального кератита
1. Антибактериальные препараты местного назначения (капли, мази):
- Левомицетин, Офтальмоферон, Тобрекс, Флоксал, Ципрофлоксацин.
2. Антибиотики общего действия (при тяжелом течении болезни или наличии осложнений):
- Амоксиклав, Цефтриаксон внутримышечно или внутривенно.
3. Противовоспалительная терапия (нестероидные противовоспалительные капли, кортикостероиды при тяжелых формах):
- Индоколлир, Диклофенак натрия, Дексапос, Софрадекс.
4. Средства для стимуляции регенерации клеток роговицы:
- Солкосерил гель, Актовегин-гель, Декспантенол, Тауфон.
5. Гигиенические мероприятия и защита глаз от раздражителей.

Непрозрачность/помутнение роговицы у животных.
Лечение вирусного кератита
1. Антивирусные препараты местного и системного действия:
- Ацикловир, Ганимед, Валтрекс, Интерфероны.
2. Противовоспалительные средства (для снятия раздражения и боли):
- Дикло-Ф, Индоколлир, Оксиал.
3. Препараты, стимулирующие восстановление эпителия роговицы:
- Корнерегель, Баларпан-Н, Солкосерил.
4. Общие противовирусные лекарства (например, Виферон свечи).

Помутнение роговицы, вызванное травмой.
Лечение грибковых инфекций роговицы
1. Специфические противогрибковые препараты:
- Натамицин, Нистатин, Флуконазол.
2. Иммуностимулирующая терапия (Интерфероны, Полудан, Пирогенал).
3. Дополнительные антибактериальные и антивирусные средства при сочетанных инфекциях.
4. Местные антисептики (Витабакт, Окомистин).
Народные средства (в качестве вспомогательной терапии)
- Медовые компрессы,
- Настои ромашки аптечной,
- Капли на основе меда и алоэ вера,
- Черничный сок.

Помутнение белого цвета в центре правого глаза.
Важно понимать, что лечение должно проводиться исключительно врачом-офтальмологом после точной диагностики и выявления возбудителя инфекции. Самостоятельное применение препаратов недопустимо и может усугубить состояние глаза. Своевременное обращение к специалисту и соблюдение назначенного курса лечения позволят минимизировать риск осложнений и ускорить выздоровление.

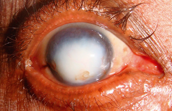
Глубокое помутнение роговицы с признаками циклита.
Кератопластика, также известная как трансплантация роговицы, является основным методом лечения для улучшения зрения при помутнении роговицы. Другие методы лечения, которые могут улучшить визуальный результат, включают оптическую иридэктомию, фототерапевтическую кератэктомию и кератопротезирование.
Рубцевание роговицы является четвертой по значимости причиной слепоты во всем мире, от которой страдают около 2 миллионов человек (5,1% от общего числа слепых).
К некоторым факторам риска помутнения роговицы относятся:
- Дефицит витамина А
- Корь — когда корь приводит к образованию рубцов/инфицированию глаза
- Травма глаза, вызванная физическими или химическими причинами
- Вирус простого герпеса, который может передаваться в глаза
- Другие инфекции, включая конъюнктивит
- Длительное ношение контактных линз, особенно на ночь
- Кератоконус
- Синдром Стивенса-Джонсона
- Врожденные аномалии роговицы
